About Us
Patients
First Visit
Financial
New Patient Forms
My Account
Patient Gallery
Treatment
About Braces
Invisalign
Invisalign Teen
Orthodontic Treatment
Impressionless Scanning
Life With Braces
FAQ
Contact
Find Us
Emergency
Patient Gallery
Book Online
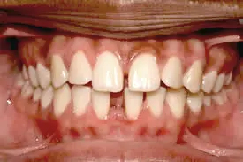
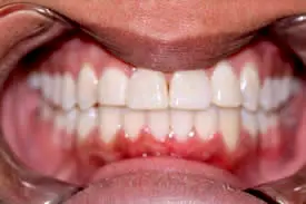
Before and After
Upper spacing with small teeth
Before
After
Before and After
Anterior crossbite (underbite)
Before
After
Before and After
Upper and lower spacing
Before
After
Before and After
Upper and lower crowding
Before
After
2636 South Loop West, Suite 100
Houston, TX 77054
Book Online